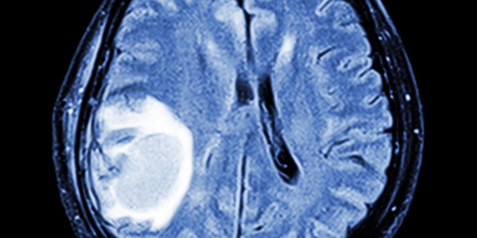
December 8, 2025December 8, 2025Cancer and tumour aren’t the same thing. Here’s the difference Featured by .Misusing the words cancer and tumour can be confusing and misleading Check your inbox or spam folder to confirm your subscription.